Quảng Trị: Thực hiện phẫu thuật nội soi cắt thận cho bệnh nhân người Lào

(SK&MT) - Thông tin từ Bệnh viện Đa khoa tỉnh Quảng Trị cho biết, đơn vị vừa thực hiện thành công ca phẫu thuật nội soi sau phúc mạc, cắt bỏ thận phải ứ mủ cho một bệnh nhân người Lào.
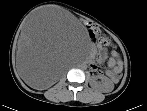
Hình ảnh cắt lớp vi tính của bệnh nhân trước khi phẫu thuật
Hình ảnh cắt lớp vi tính của bệnh nhân trước khi phẫu thuật

Cụ thể, bệnh nhân H.T.M (40 tuổi), quốc tịch Lào nhập viện trong tình trạng sốt cao, bụng đau quặn từng cơn ở vùng hông, bụng to lệch bên phải, kích thước gần như một người mang thai 8 tháng.

Theo bệnh nhân, tình trạng này đã xảy ra từ 10 năm nay nhưng vì điều kiện kinh tế khó khăn, bệnh nhân không đến bệnh viện. 3 năm nay, kích thước bụng bệnh nhân ngày càng to lên.

Qua quá trình thăm khám kết hợp với kết quả xét nghiệm, siêu âm và chụp cắt lớp vi tính ổ bụng, các bác sĩ phát hiện thận bệnh nhân bị ứ nước độ 4 do sỏi niệu quản (nhu mô thận chỉ còn như tờ giấy) kèm theo triệu chứng nhiễm trùng. Bệnh nhân M. được chẩn đoán thận phải ứ mủ độ 4, mất chức năng.

Sau phẫu thuật, sức khỏe của bệnh nhân M. đã ổn định, hiện đang được các bác sĩ tiếp tục theo dõi.
Sau phẫu thuật, sức khỏe của bệnh nhân M. đã ổn định, hiện đang được các bác sĩ tiếp tục theo dõi.

Ngày 12/7/2024, bệnh nhân đã được Tiến sĩ, bác sĩ Phan Khánh Việt, Trưởng Khoa Ngoại tổng hợp cùng các y, bác sĩ phẫu thuật nội soi sau phúc mạc cắt bỏ thận phải ứ mủ, mất chức năng.

Quá trình phẫu thuật, do tình trạng viêm dính cùng với thận quá lớn làm thay đổi tương đối về giải phẫu đã khiến các bác sĩ gặp khó khăn trong bóc tách. Từ thận phải của bệnh nhân đã hút ra 4,5l dịch mủ.

Trao đổi với chúng tôi, Tiến sĩ, bác sĩ Phan Khánh Việt, Trưởng Khoa Ngoại tổng hợp cho biết ca phẫu thuật nội soi đã được thực hiện thành công. Nhờ phẫu thuật nội soi nên bệnh nhân đã phục hồi sớm hơn, hiện có thể tự ngồi dậy và đi lại nhẹ nhàng.

Qua đây, Tiến sĩ, bác sĩ Phan Khánh Việt khuyến cáo người dân nên thực hiện thăm khám định kỳ hoặc đến bệnh viện kiểm tra khi có các biểu hiện bất thường, tránh để tình trạng bệnh trở nặng.

Đình Thảo – Quỳnh Anh

Đường dẫn bài viết: https://suckhoemoitruong.com.vn/quang-tri-thuc-hien-phau-thuat-noi-soi-cat-than-cho-benh-nhan-nguoi-lao-23821.htmlIn bài viết

Cấm sao chép dưới mọi hình thức nếu không có sự chấp thuận bằng văn bản. Copyright © 2023 https://suckhoemoitruong.com.vn/ All right reserved.