Thuốc lá điện tử phát nổ , cậu bé 17 tuổ gãy đôi xương hàm
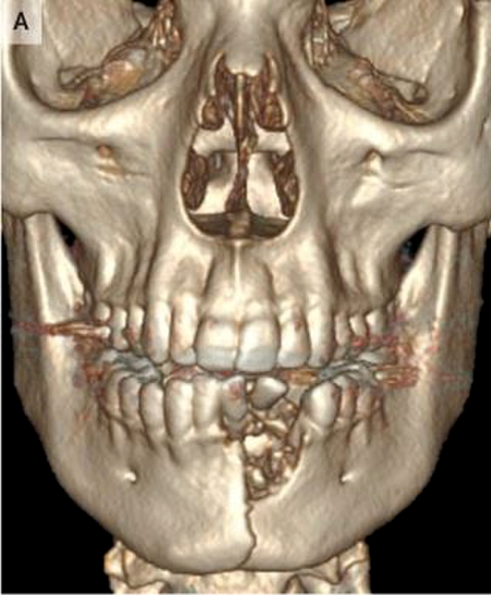
Một cậu bé tuổi teen 17 tuổi, ở Hoa Kỳ, bị thương nặng khi thuốc lá điện tử bất ngờ phát nổ trong miệng, khiến nạn nhân bị vỡ đôi xương hàm và mất đi vài cái răng cửa.
Theo Bác sĩ Katie Russell cho biết, trong quá trình điều trị, họ đã phải nhổ vài cái răng ra khỏi miệng vì chân răng vị vỡ, đồng thời đặt một tấm lưới nha khoa ở dưới nướu để ổn định xương hàm.

Thuốc lá điện tử phát nổ trong miệng, cậu bé 17 tuổi bay răng, gãy đôi xương hàm.
Nhưng sau đó miệng cậu bé vẫn không khép lại được, cuối cùng các bác sĩ đã bịt hàm bệnh nhân lại trong 6 tuần để vết thương có thời gian chữa lành.
Russell và các đồng nghiệp quyết tâm chia sẻ rộng rãi tai nạn này lên mạng xã hội để khuyến cáo tất cả mọi người vì mức độ thương tích đáng sợ xảy ra từ thuốc lá điện tử.
Để phòng vừa tai nạn đáng tiếc xảy ra, FDA khuyến cáo người dùng tránh sạc thuốc lá điện tử qua đêm hoặc để thiết bị không được giám sát trong khi sạc; tránh sử dụng bộ sạc điện thoại di động hoặc máy tính bảng để sạc thiết bị; thay pin điếu thuốc nếu chúng bị hỏng hoặc ướt; và bảo vệ thiết bị khỏi nhiệt độ cực nóng hoặc lạnh, chẳng hạn như không để thiết bị dưới ánh sáng mặt trời trực tiếp hoặc trong xe lạnh hoặc nóng trong thời gian dài.
L.H (T/h)
Các tin khác
Phường Nha Trang: Người cao tuổi có hoàn cảnh khó khăn được khám bệnh và cấp phát thuốc miễn phí
Bệnh não mô cầu nguy hiểm: Đã có 4 ca tử vong, Viện Pasteur TP.HCM phát cảnh báo khẩn
Ca phẫu thuật 4 giờ dưới kính vi phẫu giải cứu đôi mắt bị khối u chèn ép
Cần Thơ: Lần đầu tiên ghép thận thành công từ người hiến sống
Thoát nguy cơ cắt cụt chi, bệnh nhân 70 tuổi giữ được chân nhờ can thiệp kịp thời
Bệnh nhân bị khớp giả xương đùi gây biến dạng nhều năm được điều trị thành công
Cà Mau hưởng ứng Ngày Sức khỏe toàn dân
Kỳ tích y khoa: Cứu sống bệnh nhân bị dị vật nguy hiểm xuyên não
Bệnh viện Đa khoa Tâm Trí Nha Trang: Phẫu thuật thành công ca u tủy cổ, liệt tứ chi cho bệnh nhân
Đọc nhiều
Danh sách những người trúng cử đại biểu HĐND TP Cần Thơ
Đắk Lắk: Cần thời gian để các lò gạch truyền thống chuyển đổi quy trình sản xuất mới
Cần Thơ khen thưởng Bệnh viện Đa khoa thành phố sau ca ghép thận đầu tiên thành công
Chuẩn hóa đội ngũ cán bộ, phường Ô Môn hướng tới chính quyền phục vụ
Cần Thơ: Bàn giao hệ thống xạ trị gia tốc cho Bệnh viện Ung bướu
Videos
E-magazine Inforgraphic Video
Nghi vấn xả thải ngầm khiến nguồn nước kênh mương tại xã Bình Minh (TP Hà Nội) ô nhiễm kéo dài
Thủ tướng động viên lực lượng bảo đảm vệ sinh môi trường ở Hà Nội
Diễn văn của Tổng Bí thư Tô Lâm tại phiên bế mạc Đại hội XIV của Đảng
Đại hội XIV của Đảng sự kiện trọng đại của đất nước trong giai đoạn mới
Hợp tác xã bệ đỡ vùng trồng rau an toàn tập trung tại Hưng Yên
Hưng Yên sản xuất rau quả công nghệ cao hướng đi bền vững cho nông nghiệp sạch
Xã Ô Diên – Hà Nội: Bất cập từ bãi vật liệu xây dựng gây ô nhiễm môi trường và trách nhiệm quản lý tại địa bàn cơ sở
Cảnh báo hành vi giả danh cán bộ thuế, cơ quan thuế để lừa đảo
Cần Thơ: Khám mắt, cấp 150 kính miễn phí cho người dân xã Đông Hiệp
Phường Nha Trang: Người cao tuổi có hoàn cảnh khó khăn được khám bệnh và cấp phát thuốc miễn phí
Người phụ nữ Campuchia vượt gần 1.000 km sang Việt Nam mổ u não: Hành trình tìm lại sự sống
Đoàn công tác ngành y tế Lào Cai tham dự hội thảo hợp tác kiểm soát các bệnh nhiệt đới xuyên biên giới Trung Quốc - Việt Nam
Cảnh báo nguy cơ bệnh não mô cầu và cách phòng bệnh hiệu quả
Thiết kế thành công phần mềm hỗ trợ người khiếm thính Your voice
52 vận động viên tham gia giải đua xe mô-tô tại Cần Thơ
Tác hại của dầu chiên khi sử dụng nhiều lần
Kháng sinh có thể trở nên “vô dụng”: Hiểm họa từ thói quen dùng thuốc sai cách tại Việt Nam
"Làng dược liệu" độc nhất vô nhị ở Việt Nam
Nông nghiệp khó phát triển nhưng Nấm Tam Đảo không sợ khó
Nghiên cứu ứng dụng D-Panthenol và hệ nền sinh học: Bước tiến mới của DUYENTHI GROUP trong phục hồi hàng rào bảo vệ da
Nguy cơ xâm nhập biến chủng Omicron vào Việt Nam là rất lớn
Giải pháp thích ứng với vi rút corona
Thủ tướng ký ban hành Nghị quyết về mua vắc-xin Covid-19
Rửa tay là biện pháp hàng đầu phòng bệnh tay chân miệng
Kỳ tích hồi sinh bé 3 tuổi đuối nước
Nữ bác sỹ tận tâm với người bệnh
Thiếu tá Nguyễn Quốc Công tận tình chăm sóc sức khỏe người dân nơi biển đảo Tây Nam
Bệnh viện Quân y 121 (Quân khu 9) thực hiện thành công ca can thiệp nút túi phình động mạch não
Không để tình trạng ứng phó thụ động, bất ngờ với COVID-19
An Giang tăng cường kiểm soát, ngăn chặn bệnh cúm gia cầm
Bộ Y tế đã cấp phép, gia hạn hơn 13.500 số đăng ký thuốc, vaccine, sinh phẩm
