Bệnh viện S.I.S Cần Thơ cứu thành công bệnh nhân lớn tuổi tim loạn nhịp
Bệnh nhân là cụ bà T.T.N (97 tuổi, quê An Giang), nhập viện trong tình trạng mệt mỏi kéo dài, khó thở và nặng ngực. Các triệu chứng ngày càng tăng khiến gia đình không khỏi lo lắng khi sức khỏe của cụ suy giảm.
Ngay khi tiếp nhận, các bác sĩ Bệnh viện Đa khoa Quốc tế S.I.S Cần Thơ đã thực hiện các thăm dò cần thiết. Kết quả điện tâm đồ ghi nhận bệnh nhân bị block nhĩ thất hoàn toàn, đây là một dạng rối loạn nhịp tim nặng, khi đó hoạt động của tâm nhĩ và tâm thất không còn phối hợp nhịp nhàng. Tình trạng này có thể dẫn đến suy tim, ngất hoặc đe dọa tính mạng nếu không được xử trí kịp thời.
![]() |
| Các y, bác sĩ chức mừng cụ bà T.T.N, 97 tuổi, quê An Giang (bên phải) sau can thiệp kịp thời bằng kỹ thuật tim mạch hiện đại. |
Theo BS.CKII Nguyễn Mạnh Cường, Phó Khoa Nội Tổng hợp, Bệnh viện Đa khoa Quốc tế S.I.S Cần Thơ, do bệnh nhân tuổi cao và tình trạng rối loạn nhịp nghiêm trọng, ê-kíp điều trị đã đặt máy tạo nhịp tạm thời nhằm hỗ trợ nhịp tim và ổn định huyết động ban đầu. Song song đó, bệnh nhân được thực hiện các xét nghiệm chuyên sâu như xét nghiệm máu, chụp X-quang phổi và chụp mạch vành bằng DSA.
Kết quả chụp mạch vành cho thấy bệnh nhân có hẹp mạch vành mức độ vừa, phù hợp với độ tuổi và được điều trị nội khoa. Sau khi tình trạng toàn thân ổn định, các bác sĩ tiến hành hội chẩn và thống nhất chỉ định cấy máy tạo nhịp vĩnh viễn bằng kỹ thuật bó nhánh trái - phương pháp tiên tiến đang được triển khai tại Bệnh viện.
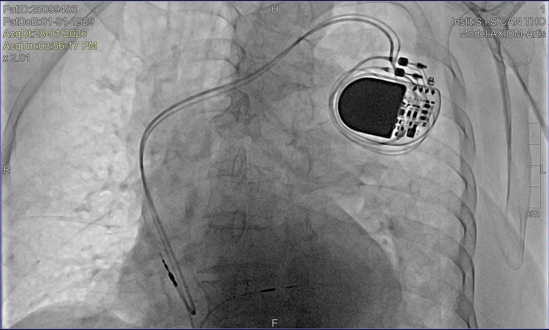
![]() |
| Ngay khi tiếp nhận, các bác sĩ Bệnh viện Đa khoa Quốc tế S.I.S Cần Thơ đã thực hiện các thăm dò cần thiết. |
“Đây là trường hợp bệnh nhân lớn tuổi nhất từng được điều trị bằng kỹ thuật này tại bệnh viện, với nhiều thách thức do tuổi cao và rối loạn nhịp tim phức tạp. Hiện nay, tại Việt Nam, vẫn còn rất ít cơ sở y tế có thể thực hiện kỹ thuật cấy máy tạo nhịp bó nhánh trái, chủ yếu tập trung ở những bệnh viện có đầy đủ trang thiết bị hiện đại và đội ngũ bác sĩ chuyên sâu về điều trị rối loạn nhịp tim. Khác với phương pháp cấy máy tạo nhịp truyền thống, kỹ thuật cấy máy tạo nhịp bó nhánh trái giúp nhịp tim được dẫn truyền gần với sinh lý tự nhiên, bảo tồn chức năng co bóp của thất trái và giảm nguy cơ suy tim về lâu dài. Đặc biệt, phương pháp này mang lại nhiều lợi ích cho người cao tuổi khi vừa đảm bảo hiệu quả điều trị, vừa hạn chế biến chứng”, BS. CKII Nguyễn Mạnh Cường cho biết.
Ca can thiệp diễn ra thuận lợi. Sau thủ thuật, cụ bà tỉnh táo, nhịp tim ổn định, các triệu chứng mệt và khó thở giảm rõ rệt. Chỉ sau khoảng 4 ngày điều trị, bệnh nhân đã đủ điều kiện xuất viện trong niềm vui của gia đình và đội ngũ y bác sĩ.
Các tin khác
Điều trị bệnh gan theo hướng công nghệ cao đang được nhiều người lựa chọn tại Bệnh viện đa khoa Phương Đông
Bệnh viện Bạch Mai: Giữ vững sứ mệnh, đổi mới vì sức khỏe cộng đồng và môi trường bền vững
Dấu ấn ECMO trong hồi sức cấp cứu tại Đồng bằng sông Cửu Long
Người mắc virus Nipah sẽ có những biểu hiện như thế nào?
Bộ Y tế khuyến cáo không tiếp xúc, ăn thực phẩm từ động vật hoang dã để phòng bệnh do virus Nipah
Những kỳ tích y khoa đầu năm 2026 tại Bệnh viên Đa khoa vùng Tây Nguyên
Lần đầu tiên ban hành phác đồ kết hợp y học cổ truyền và hiện đại cho 16 bệnh phổ biến
Bệnh viện Đa khoa Thiện Hạnh đón nhận 2 chứng chỉ ISO quốc tế - Khẳng định chuẩn hóa quản lý chất lượng y tế tại khu vực Tây Nguyên
Bệnh viện K ghi dấu bước tiến quan trọng trong điều trị ung thư phụ khoa
Đọc nhiều
Cờ Đỏ phát huy nội lực, tạo nền tảng phát triển bền vững
Nghiên cứu ứng dụng D-Panthenol và hệ nền sinh học: Bước tiến mới của DUYENTHI GROUP trong phục hồi hàng rào bảo vệ da
Đoàn Luật sư TP. Cần Thơ: 35 năm đồng hành bảo vệ công lý, kiến tạo môi trường pháp lý bền vững
Đưa Trung tâm hồi sức tích cực, chống độc hiện đại phục vụ bệnh nhân
Những kỳ tích y khoa đầu năm 2026 tại Bệnh viên Đa khoa vùng Tây Nguyên
Videos
E-magazine Inforgraphic Video
Diễn văn của Tổng Bí thư Tô Lâm tại phiên bế mạc Đại hội XIV của Đảng
Đại hội XIV của Đảng sự kiện trọng đại của đất nước trong giai đoạn mới
Hợp tác xã bệ đỡ vùng trồng rau an toàn tập trung tại Hưng Yên
Hưng Yên sản xuất rau quả công nghệ cao hướng đi bền vững cho nông nghiệp sạch
Xã Ô Diên – Hà Nội: Bất cập từ bãi vật liệu xây dựng gây ô nhiễm môi trường và trách nhiệm quản lý tại địa bàn cơ sở
Cảnh báo hành vi giả danh cán bộ thuế, cơ quan thuế để lừa đảo
Phòng ngừa cháy nổ trong dịp Tết Nguyên đán
Bản tin tổng hợp số 8 tháng 11 của Tạp chí Sức khoẻ & Môi trường
Bệnh viện S.I.S Cần Thơ cứu thành công bệnh nhân lớn tuổi tim loạn nhịp
Điều trị bệnh gan theo hướng công nghệ cao đang được nhiều người lựa chọn tại Bệnh viện đa khoa Phương Đông
Bệnh viện Bạch Mai: Giữ vững sứ mệnh, đổi mới vì sức khỏe cộng đồng và môi trường bền vững
Dấu ấn ECMO trong hồi sức cấp cứu tại Đồng bằng sông Cửu Long
52 vận động viên tham gia giải đua xe mô-tô tại Cần Thơ
Tác hại của dầu chiên khi sử dụng nhiều lần
Trung tâm Y tế khu vực Yên Lạc tổ chức Hội thi “Phụ nữ với công tác Dân số và Phát triển” năm 2025
Chi cục An toàn thực phẩm tỉnh Phú Thọ: Nâng cao nhận thức trách nhiệm toàn xã hội về an toàn thực phẩm
Nông nghiệp khó phát triển nhưng Nấm Tam Đảo không sợ khó
Nghiên cứu ứng dụng D-Panthenol và hệ nền sinh học: Bước tiến mới của DUYENTHI GROUP trong phục hồi hàng rào bảo vệ da
Hành trình khởi nghiệp của sinh viên Y Dược Cần Thơ
Bộ Y tế thu hồi dược liệu Ý dĩ không đạt tiêu chuẩn chất lượng
Nguy cơ xâm nhập biến chủng Omicron vào Việt Nam là rất lớn
Giải pháp thích ứng với vi rút corona
Thủ tướng ký ban hành Nghị quyết về mua vắc-xin Covid-19
Rửa tay là biện pháp hàng đầu phòng bệnh tay chân miệng
Bệnh viện Quân y 121 (Quân khu 9) thực hiện thành công ca can thiệp nút túi phình động mạch não
Phòng ngừa bệnh tim quá đơn giản: đánh răng!
Nữ thầy thuốc giỏi chuyên môn, nhiệt huyết với phong trào
Bệnh viện Đa khoa Trung ương Cần Thơ: Sử dụng hệ thống dao mổ siêu âm Cusa trong phẫu thuật cắt gan
Không để tình trạng ứng phó thụ động, bất ngờ với COVID-19
An Giang tăng cường kiểm soát, ngăn chặn bệnh cúm gia cầm
Bộ Y tế đã cấp phép, gia hạn hơn 13.500 số đăng ký thuốc, vaccine, sinh phẩm


