Nhật Bản: Ghép phổi cho bệnh nhân Covid-19

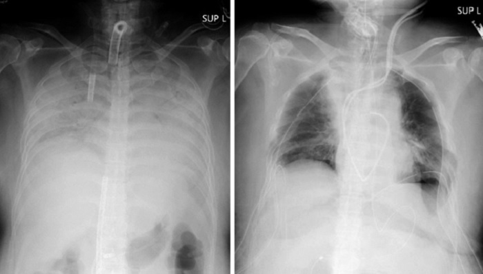
Ảnh chụp X-quang cho thấy phổi của một bệnh nhân COVID-19 trước và sau khi phẫu thuật cấy ghép.
Người phụ nữ sống ở miền tây Nhật Bản không có bệnh nền nhưng chức năng hô hấp của bà đã suy giảm nhanh chóng sau khi mắc COVID-19 vào cuối năm ngoái. Căn bệnh đã khiến cả hai phổi của bà co cứng lại và hầu hết các chức năng đều bị phá hủy. Khi các bác sĩ cho biết bà cần ghép phổi để sống sót, con trai và chồng bà đã quyết định hiến một phần phổi của họ. Họ đã được cảnh báo về những nguy cơ sức khỏe do giảm dung tích phổi.
Người phụ nữ nhập viện hôm 5/4 và được kết nối với một thiết bị tim phổi nhân tạo, được gọi là trao đổi oxy qua màng ngoài cơ thể (ECMO). Bà đã được ghép một phần phổi trái của chồng và một phần phổi phải của con trai hai ngày sau đó.
Toàn bộ quá trình cấy ghép phổi diễn ra khoảng 11 giờ đồng hồ tại Bệnh viện Đại học Kyoto. Các bác sĩ cho biết cả người hiến tặng và bệnh nhân đều trong tình trạng sức khỏe ổn định. Các bác sĩ tại thành phố Kyoto hy vọng bà sẽ bình phục hoàn toàn trong vòng vài tháng.
Tại Nhật Bản và nhiều quốc gia khác, có rất nhiều người đang chờ đợi để có cơ hội được cấy ghép toàn bộ phổi, chủ yếu là từ những người hiến tặng đã chết não.
Bệnh viện Đại học Kyoto cho biết hàng chục ca cấy ghép phổi điều trị bệnh COVID-19 đã được thực hiện ở Trung Quốc, Châu Âu và Mỹ bằng cách sử dụng phổi của những người hiến tạng đã qua đời. Tuy nhiên, thời gian chờ đợi có thể kéo dài nhiều năm ở Nhật Bản.
Giáo sư Hiroshi Date, bác sĩ phẫu thuật lồng ngực, người phụ trách ca phẫu thuật, chia sẻ với Kyodo News: “Tôi nghĩ rằng ca ghép phổi này mở ra hướng điều trị mới và đem lại niềm hy vọng cho nhiều bệnh nhân rơi vào tình cảnh sức khỏe tương tự”.
L.Đ
Các tin khác
Thảm họa mưa lớn và lở đất ở Brazil
Ngài Budiarsa Sastrawinata trở thành Chủ tịch FIABCI
Từ sau 10/9, Đan Mạch không coi Covid-19 là mối nguy cơ nghiêm trọng đối với xã hội
Cảnh báo những biến thể mới của SARS-CoV-2
Vũ Hán dậy sóng vì Covid-19 trở lại
Hàng loạt đồ điện gia dụng nhà dân bị chập, cháy do Công ty Điện lực Nam Từ Liêm đấu nhầm pha
Hiệu quả của tiêm vaccine tại Mỹ
EU chính thức áp dụng thông hành điện tử Covid-19
Campuchia phát hiện số ca nhiễm mới cao chưa từng có
Đọc nhiều
Nghiên cứu ứng dụng D-Panthenol và hệ nền sinh học: Bước tiến mới của DUYENTHI GROUP trong phục hồi hàng rào bảo vệ da
Những kỳ tích y khoa đầu năm 2026 tại Bệnh viên Đa khoa vùng Tây Nguyên
Bệnh viện Quân y 121 làm chủ kỹ thuật nút rò động mạch cảnh xoang hang
Cần Thơ xây dựng đội ngũ cán bộ y tế “Giỏi chuyên môn, sáng y đức, vững bản lĩnh, tận tâm phục vụ”
Quản lý đau hiệu quả, thước đo chất lượng chăm sóc người bệnh
Videos
E-magazine Inforgraphic Video
Thủ tướng động viên lực lượng bảo đảm vệ sinh môi trường ở Hà Nội
Diễn văn của Tổng Bí thư Tô Lâm tại phiên bế mạc Đại hội XIV của Đảng
Đại hội XIV của Đảng sự kiện trọng đại của đất nước trong giai đoạn mới
Hợp tác xã bệ đỡ vùng trồng rau an toàn tập trung tại Hưng Yên
Hưng Yên sản xuất rau quả công nghệ cao hướng đi bền vững cho nông nghiệp sạch
Xã Ô Diên – Hà Nội: Bất cập từ bãi vật liệu xây dựng gây ô nhiễm môi trường và trách nhiệm quản lý tại địa bàn cơ sở
Cảnh báo hành vi giả danh cán bộ thuế, cơ quan thuế để lừa đảo
Phòng ngừa cháy nổ trong dịp Tết Nguyên đán
Chấn Hưng (Vĩnh Phúc): Từ làng quê thuần nông đến diện mạo nông thôn mới khởi sắc
Nhiều chương trình hấp dẫn đón Xuân Ất Tỵ tại Cantho Eco Resort
Trung Quốc: Số ca mắc bệnh lý đường hô hấp tiếp tục tăng
Lãnh đạo Liên Hợp Quốc, các quốc gia, các đảng viếng Tổng Bí thư Nguyễn Phú Trọng
COP29: 300 tỷ USD một năm chi cho biến đổi khí hậu là quá ít
COP29 và những cam kết cho mục tiêu giảm khí thải nhà kính
EU công bố kế hoạch hợp tác giảm phát thải methane tại COP29
Hội nghị trù bị COP29: Tăng hợp tác quốc tế hướng tới mục tiêu khí hậu toàn cầu
Cụ ông 80 tuổi được cứu sống do các cục máu đông làm tắc động mạch
Sau đại dịch gia lương thực tăng vọt
WHO: Châu Âu đối mặt với “mùa đông thách thức”
Vì sao Ấn Độ có ít nguy cơ bị tàn phá bởi làn sóng dịch COVID-19 thứ 3?
Khai mạc Phiên cấp cao Hội nghị COP16- Cam kết mạnh mẽ từ các nhà lãnh đạo
Bệnh đậu mùa khỉ bùng phát tại châu Phi, WHO có thể công bố tình trạng khẩn cấp
WHO: Số ca bệnh sởi đang gia tăng khắp châu Âu năm thứ hai liên tiếp
