Cứu sống bệnh nhân bị kéo dài 24 cm đâm xuyên cổ
![]() |
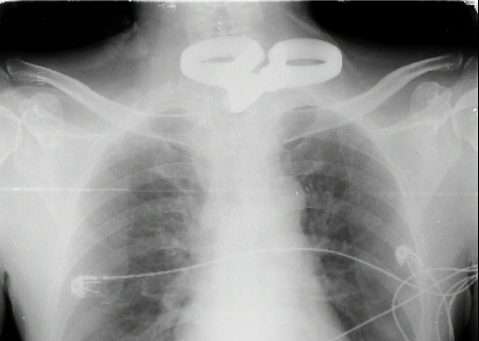
| Hình dị vật trên phim Xquang |
Trước đó, nam bệnh nhân L.V.H (SN 1980, ngụ tỉnh Sóc Trăng) được chuyển đến BVĐKTƯ Cần Thơ lúc 14h ngày 19/2 trong tình trạng vết thương vùng hõm ức, dị vật là chiếc kéo sắt dài 24 cm; vết thương thấu bụng 2cm; tiền sử hai mắt bệnh nhân không còn thị lực 10 năm.
Kết quả X-Quang, chụp cắt lớp vi tính ghi nhận chiếc kéo xuyên giữa cột sống ngực D1. Bệnh nhân được chỉ định phẫu thuật cấp cứu lấy dị vật và thám sát vết thương tủy sống. Các BS nội soi thực quản thấy không tổn thương dọc theo ống thực quản qua vị trí kéo đâm xuyên từ trước vào thân sống ngực.
![]() |
| Các bác sĩ tiến hành phẫu thuật cho bệnh nhân |
Ê kíp chuyên khoa chấn thương chỉnh hình bóc tách, thấy đầu kéo nằm sát động mạch cảnh bên trái đâm xuyên giữa thân đốt sống ngực, tổn thương màng cứng, rỉ ít dịch não tủy. Ê kíp Ngoại Tổng hợp thực hiện phẫu thuật mở bụng kiểm tra các cơ quan, lau rửa ổ bụng, tình trạng bệnh nhân ổn định được chuyển hậu phẫu theo dõi, chăm sóc ngoại khoa.
![]() |
| Bệnh nhân ổn định sau phẫu thuật |
Tình trạng hiện tại bệnh nhân tỉnh, tiếp xúc tốt, vết mổ khô, không sốt. Hiện bệnh nhân đang được điều trị và chăm sóc tại Trung tâm Chấn thương chỉnh hình./.
Các tin khác
Bệnh viện K ghi dấu bước tiến quan trọng trong điều trị ung thư phụ khoa
Ra mắt Hội Y học Thể thao Việt Nam - Dấu mốc quan trọng cho sự phát triển chuyên sâu của nền y học thể thao nước nhà
Bộ Y tế Tham vấn chính sách để sửa đổi Luật An toàn thực phẩm
Lần đầu tiên ứng dụng UAV vận chuyển thuốc cấp cứu giữa các bệnh viện và trạm y tế
Khẳng định vai trò tuyến cuối - Chấn thương chỉnh hình khu vực miền Tây bước sang trang mới
Học viện Y – Dược học Cổ truyền Việt Nam trao quyết định cho 10 Phó Giáo sư
Vi phẫu thành công cứu sống ngón tay thủy thủ bị đứt rời sau 25 giờ
Công nghệ, khoa học mới mở rộng cơ hội sống cho bệnh nhân ung thư
Cảnh báo đột quỵ não ở trẻ: Ca bệnh đánh thức sự chủ quan
Đọc nhiều
Cờ Đỏ phát huy nội lực, tạo nền tảng phát triển bền vững
Nghiên cứu ứng dụng D-Panthenol và hệ nền sinh học: Bước tiến mới của DUYENTHI GROUP trong phục hồi hàng rào bảo vệ da
Đoàn Luật sư TP. Cần Thơ: 35 năm đồng hành bảo vệ công lý, kiến tạo môi trường pháp lý bền vững
Đưa Trung tâm hồi sức tích cực, chống độc hiện đại phục vụ bệnh nhân
Mega Sale 2026 lan tỏa xu hướng tiêu dùng xanh tại Cần Thơ
Videos
E-magazine Inforgraphic Video
Diễn văn của Tổng Bí thư Tô Lâm tại phiên bế mạc Đại hội XIV của Đảng
Đại hội XIV của Đảng sự kiện trọng đại của đất nước trong giai đoạn mới
Hợp tác xã bệ đỡ vùng trồng rau an toàn tập trung tại Hưng Yên
Hưng Yên sản xuất rau quả công nghệ cao hướng đi bền vững cho nông nghiệp sạch
Xã Ô Diên – Hà Nội: Bất cập từ bãi vật liệu xây dựng gây ô nhiễm môi trường và trách nhiệm quản lý tại địa bàn cơ sở
Cảnh báo hành vi giả danh cán bộ thuế, cơ quan thuế để lừa đảo
Phòng ngừa cháy nổ trong dịp Tết Nguyên đán
Bản tin tổng hợp số 8 tháng 11 của Tạp chí Sức khoẻ & Môi trường
Hà Nội (Q.Hà Đông) : Môi trường sống của người dân không được đảm bảo bởi những công trình vi phạm TTXD
Dấu ấn ECMO trong hồi sức cấp cứu tại Đồng bằng sông Cửu Long
Người mắc virus Nipah sẽ có những biểu hiện như thế nào?
Bộ Y tế khuyến cáo không tiếp xúc, ăn thực phẩm từ động vật hoang dã để phòng bệnh do virus Nipah
Những kỳ tích y khoa đầu năm 2026 tại Bệnh viên Đa khoa vùng Tây Nguyên
Tác hại của dầu chiên khi sử dụng nhiều lần
Trung tâm Y tế khu vực Yên Lạc tổ chức Hội thi “Phụ nữ với công tác Dân số và Phát triển” năm 2025
Chi cục An toàn thực phẩm tỉnh Phú Thọ: Nâng cao nhận thức trách nhiệm toàn xã hội về an toàn thực phẩm
Chi Cục An toàn thực phẩm Phú Thọ: Tập huấn tăng cường năng lực về quản lý an toàn thực phẩm cho Ban Chỉ đạo liên ngành ATTP xã, phường
Nghiên cứu ứng dụng D-Panthenol và hệ nền sinh học: Bước tiến mới của DUYENTHI GROUP trong phục hồi hàng rào bảo vệ da
Hành trình khởi nghiệp của sinh viên Y Dược Cần Thơ
Bộ Y tế thu hồi dược liệu Ý dĩ không đạt tiêu chuẩn chất lượng
Bộ Y tế cấp mới, gia hạn giấy đăng ký lưu hành gần 800 loại thuốc
Nguy cơ xâm nhập biến chủng Omicron vào Việt Nam là rất lớn
Giải pháp thích ứng với vi rút corona
Thủ tướng ký ban hành Nghị quyết về mua vắc-xin Covid-19
Rửa tay là biện pháp hàng đầu phòng bệnh tay chân miệng
Bệnh viện Quân y 121 (Quân khu 9) thực hiện thành công ca can thiệp nút túi phình động mạch não
Phòng ngừa bệnh tim quá đơn giản: đánh răng!
Nữ thầy thuốc giỏi chuyên môn, nhiệt huyết với phong trào
Bệnh viện Đa khoa Trung ương Cần Thơ: Sử dụng hệ thống dao mổ siêu âm Cusa trong phẫu thuật cắt gan
Không để tình trạng ứng phó thụ động, bất ngờ với COVID-19
An Giang tăng cường kiểm soát, ngăn chặn bệnh cúm gia cầm
Bộ Y tế đã cấp phép, gia hạn hơn 13.500 số đăng ký thuốc, vaccine, sinh phẩm



