Phương pháp mới: Điều trị suy tĩnh mạch bằng can thiệp nội mạch
Sau gần 2 năm thực hiện kỹ thuật điều trị suy tĩnh mạch bằng can thiệp nội mạch, đến nay BV ĐH Y Dược TP.HCM đã thực hiện thành công hơn 20 ca phẫu thuật cho bệnh nhân.
Chỉ bằng một vết kim nhỏ đâm ở vùng bẹn, đùi bệnh nhân có thể điều trị dứt điểm bệnh suy tĩnh mạch chi dưới mà không cần phẫu thuật hay làm bất cứ điều gì. Đây là phương pháp can thiệp nội mạch lần đầu tiên được ứng dụng tại Việt Nam để điều trị hội chứng suy tĩnh mạch.
Theo ThS-BS Lê Thanh Phong, khoa Lồng ngực mạch máu, BV ĐH Y Dược TP.HCM cho biết, sau gần 2 năm thực hiện kỹ thuật điều trị suy tĩnh mạch do tắc nghẽn bằng can thiệp nội mạch, BV đã điều trị thành công hơn 20 trường hợp bệnh nhân bị suy tĩnh mạch chi dưới giai đoạn cuối bằng kỹ thuật can thiệp nội mạch.
Cụ thể bệnh nhân B.T.G (SN 1995) ngụ TP.HCM nhập viện do sốc nhiễm trùng chân trái sưng to, căng bóng, đỏ da và rất đau. Được biết, bệnh nhân bị phù chân từ nhiều năm nay, thường xuyên phải vào BV điều trị vì nhiễm trùng máu có nguồn gốc từ nhiễm trùng chân trái.
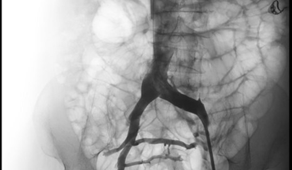
Tại đây, các bác sĩ khoa Lồng ngực mạch máu của BV đã chẩn đoán bệnh có nguồn gốc từ hội chứng chèn ép tĩnh mạch chậu và tắc mạch huyết chân, cần phải điều trị tải thông mạch máu. Sau đó bà G. được các bác sĩ tại bệnh viện nong bóng và đặt stent vào tĩnh mạch chậu, tải thông dòng máu về tim. Sau 2 điều trị, chân bà đã giảm phù được gần 50% so với trước khi can thiệp.

Với kỹ thuật này bệnh nhân có thể xuất viện ngay sau phẫu thuật
Cũng tương tự như trường hợp bà G, bệnh nhân L.T.H (SN 1956) ngụ Sóc Trăng nhập viện trong tình trạng đau và loét chân không lành vào tháng 7-2015.
Được biết, 8 năm trước bà thường xuyên bị phù chân trái khi đứng lâu hoặc đi lại. Tuy nhiên, khoảng 2 năm gần đây ngoài bị phù bà còn bị thêm các triệu chứng như: nổi các tĩnh mạch ngoài da, đau chân khi đứng lâu hay đi lại. Đặc biệt, hai tháng trước khi nhập viện, xuất hiện một vết loét ở mắt cá trong chân trái và có hiện tượng chảy dịch và đau đớn.
Tại đây, các bác sĩ khoa Lồng ngực mạch máu, BV ĐH Y Dược chẩn đoán bệnh nhân bị suy tĩnh mạch giai đoạn cuối do hội chứng chèn ép tĩnh mạch chậu. Sau quá trình thăm khám, các bác sĩ điều trị cho bà H theo phương pháp điều trị bằng nong bóng và đặt stent tải thông tĩnh mạch chậu thành công.
Theo bác sĩ Lê Thanh Phong, với kỹ thuật này bệnh nhân sẽ được nong bóng và đặt giá đỡ tĩnh mạch (stent) chỉ qua một vết đâm kim ở vùng bẹn đùi. Sau khi thực hiện thủ thuật này, người bệnh có thể đi lại vài giờ sau mổ và có thể xuất viện trong ngày.
“Nếu so với phương pháp truyền thống trước đây phải phẫu thuật rất phức tạp, mất nhiều máu và gây đau đớn, nhưng nguy cơ tái phát rất cao thì can thiệp nội mạch sẽ không gây đau đớn, xuất viện trong ngày, lại không gây biến chứng và gần như không tái phát. Trong số 20 ca mà chúng tôi thực hiện đến giờ chưa có trường hợp nào tái phát. Đây là kỹ thuật lần đầu tiên được ứng dụng tại Việt Nam”, bác sĩ Phong nhấn mạnh.
Bệnh suy tĩnh mạch chi dưới thường do các van tĩnh mạch bị hư hỏng hay bị chèn ép từ bên ngoài bởi một khiếm khuyết tự nhiên của cơ thể. Do vậy, hiện phần lớn các trường hợp bị suy tĩnh mạch chi dưới do hội chứng chèn ép tĩnh mạch chậu.
Bệnh suy tĩnh mạch chi dưới tập trung chủ yếu ở phụ nữ, nhất là phụ nữ sau khi sinh chiếm khoảng 80%.
Bệnh có các triệu trứng đau nhức chân, chủ yếu ở chân trái kèm các cảm giác khó chịu như: mỏi, nặng, cảm giác kiến bò, chuột rút…. Khi vận động nhiều những triệu trứng trên sẽ tăng lên và giảm xuống khi nghỉ ngơi. Sau đó bệnh nhân bị phù chân, gân xanh đỏ nổi dưới da hoặc có thể loét ở cổ chân.
Việc bệnh suy tĩnh mạch thường gặp chủ yếu ở phụ nữ , bác sĩ Phong lí giải, có thể do trong quá trình mang thai, lượng hoocmon trong cơ thể phụ nữ thay đổi hoặc sự chịu đựng của phụ nữ kém hơn nam giới nên gây ra tình trạng suy tĩnh mạch chi dưới.
H.G
Các tin khác
Hội thảo ứng dụng CT Photon trong chẩn đoán tim mạch và ung bướu
Đã uống rượu bia không nên tắm biển
Chế độ chăm sóc bệnh nhân sau tai biến mạch máu não
Bệnh viện Quân y 121 (Quân khu 9): Miễn tiền công khám bệnh và một phần chi phí xét nghiệm
Cứu sống sản phụ mất máu, sót nhau thai khi sinh con tại nhà
Phối hợp liên chuyên khoa cứu sống bệnh nhân xuất huyết tử cung
Hội thảo khoa học những tiến bộ trong phẫu thuật tái tạo dây chằng
Hơn 400 bác sĩ và chuyên gia quốc tế tham dự hội thảo chẩn đoán và điều trị đột quỵ
Uống nước ấm trong mùa hè giúp cho tiêu hóa và giải độc
Đọc nhiều
Nghiên cứu ứng dụng D-Panthenol và hệ nền sinh học: Bước tiến mới của DUYENTHI GROUP trong phục hồi hàng rào bảo vệ da
Những kỳ tích y khoa đầu năm 2026 tại Bệnh viên Đa khoa vùng Tây Nguyên
Bệnh viện Quân y 121 làm chủ kỹ thuật nút rò động mạch cảnh xoang hang
Cần Thơ xây dựng đội ngũ cán bộ y tế “Giỏi chuyên môn, sáng y đức, vững bản lĩnh, tận tâm phục vụ”
Lực lượng công an Cần Thơ bỏ phiếu sớm, sẵn sàng bảo đảm an ninh ngày bầu cử
Videos
E-magazine Inforgraphic Video
Thủ tướng động viên lực lượng bảo đảm vệ sinh môi trường ở Hà Nội
Diễn văn của Tổng Bí thư Tô Lâm tại phiên bế mạc Đại hội XIV của Đảng
Đại hội XIV của Đảng sự kiện trọng đại của đất nước trong giai đoạn mới
Hợp tác xã bệ đỡ vùng trồng rau an toàn tập trung tại Hưng Yên
Hưng Yên sản xuất rau quả công nghệ cao hướng đi bền vững cho nông nghiệp sạch
Xã Ô Diên – Hà Nội: Bất cập từ bãi vật liệu xây dựng gây ô nhiễm môi trường và trách nhiệm quản lý tại địa bàn cơ sở
Cảnh báo hành vi giả danh cán bộ thuế, cơ quan thuế để lừa đảo
Phòng ngừa cháy nổ trong dịp Tết Nguyên đán
Trăn trở chuyện nghề của lương y Nguyễn Thị Thanh Xuân về căn bệnh Ung thư
Bệnh viện Đa khoa Quốc tế S.I.S Cần Thơ: Cứu sống bệnh nhân bị đột quỵ não.
Bệnh viện Quân y 121 (Quân khu 9): Miễn tiền công khám bệnh và một phần chi phí xét nghiệm
Cứu sống sản phụ mất máu, sót nhau thai khi sinh con tại nhà
Cỏ cũng là vị thuốc
Cây dây thìa canh – Một vị thuốc nam quý
Bệnh cúm A được điều trị bằng những loại thuốc nào?
Công dụng không ngờ của thực phẩm lên men
Cứu sống bé trai 9 tuổi xuất huyết não, động kinh do u máu thể hang hiếm gặp
Ứng dụng stent LAMS tại BV đa khoa TW Cần Thơ - mở đường điều trị bệnh lý tụy
Hội thảo ứng dụng CT Photon trong chẩn đoán tim mạch và ung bướu
