Bệnh viện Đa khoa Quốc tế S.I.S Cần Thơ: Cứu sống bệnh nhân bị đột quỵ não.
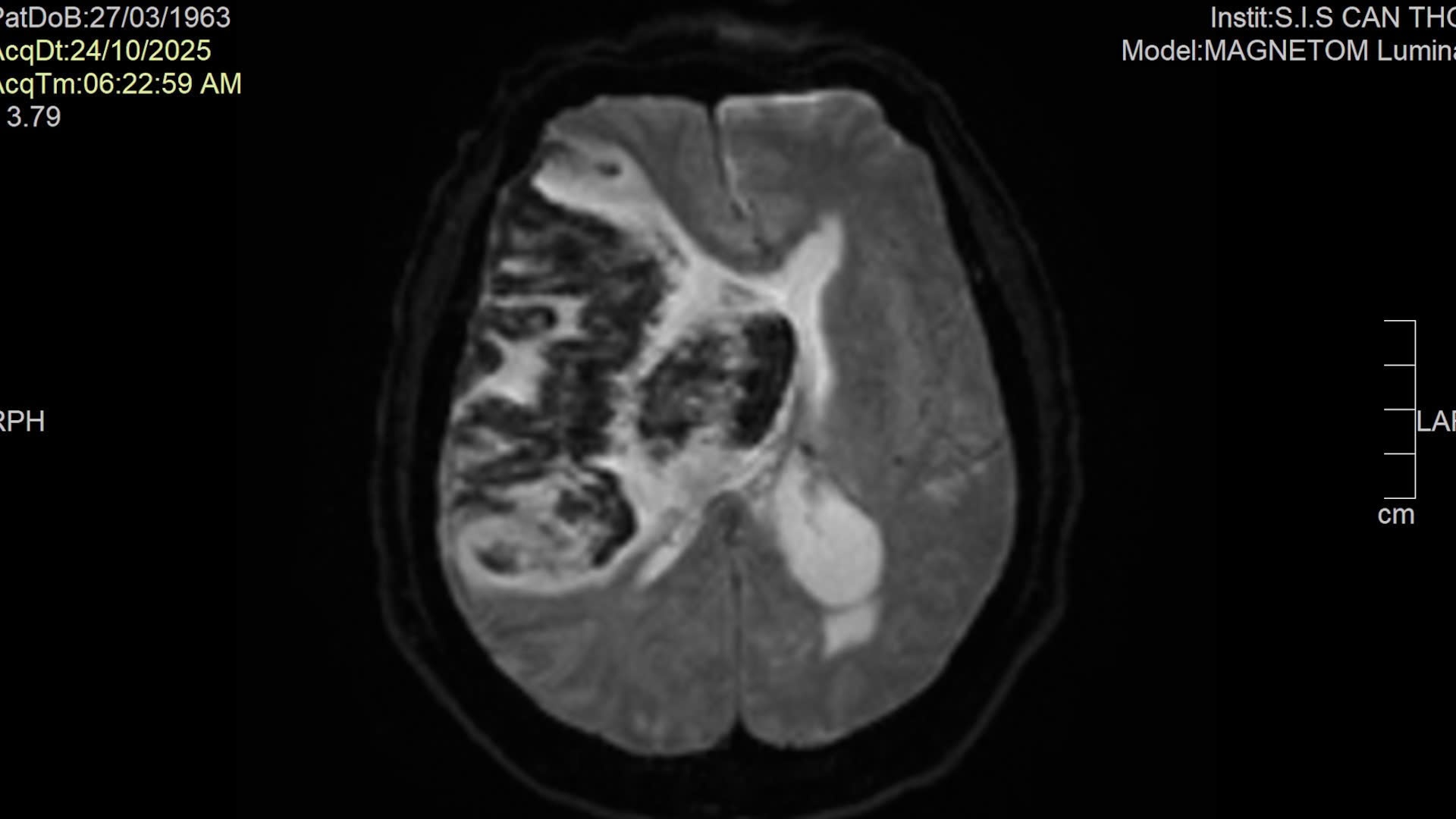
Bệnh nhân tên N.T.H, 62 tuổi (ngụ phường Khánh Hội, TP. Hồ Chí Minh), nhập viện trong tình trạng hôn mê sâu (GCS 4 - 5 điểm), phải thở máy. Kết quả chụp MRI não cho thấy nhồi máu não diện rộng vùng bán cầu phải chuyển dạng xuất huyết, phù não nặng, kèm nhiều bệnh nền phức tạp như tăng huyết áp, đái tháo đường, rối loạn mỡ máu, bệnh tim thiếu máu cục bộ.
![]() |
| Sau 10 ngày hậu phẫu (tính đến ngày 4/11), ông H đã qua cơn nguy kịch. |
Trước đó khoảng 2 ngày, ông H đã được điều trị đột quỵ tại một bệnh viện ở TP. Hồ Chí Minh. Dù đã được điều trị can thiệp lấy huyết khối trong “giờ vàng”, nhưng tiên lượng không khả quan. Qua người quen giới thiệu, gia đình đã quyết định đưa ông H đến Bệnh viện Đa khoa Quốc tế S.I.S Cần Thơ.
Ngay khi tiếp nhận, ekip bác sĩ phẫu thuật thần kinh của Bệnh viện đã hội chẩn khẩn; nhanh chóng tiến hành phẫu thuật mở sọ giải ép để giảm áp lực nội sọ, giành lại từng giây sự sống cho người bệnh.
Bác sĩ Tôn Nữ Thị Điểm, Phẫu thuật viên chia sẻ: “Kó khăn nhất là bệnh nhân đến muộn, tổn thương não diện rộng và nền bệnh lý phức tạp. Nhưng chính sự quyết tâm và tin tưởng của gia đình, chúng tôi đã may mắn thực hiện thành công ca mổ, giảm được áp lực nội sọ, giúp não hồi phục dần… Sau 10 ngày hậu phẫu (tính đến ngày 4/11), ông H đã qua cơn nguy kịch, tuy còn yếu nhiều tay chân trái nhưng ông có thể nói chuyện, cử động tốt tay chân phải và thực hiện được y lệnh”.
![]() |
| Theo Bác sĩ khuyến cáo, với những người cao tuổi, mắc bệnh nền như tăng huyết áp, tiểu đường, rối loạn mỡ máu, bệnh tim thiếu máu cục bộ… cần thăm khám định kỳ, dùng thuốc đều đặn và tránh rượu bia, thuốc lá. |
Bác sĩ Điểm khuyến cáo, với những người cao tuổi, mắc bệnh nền như tăng huyết áp, tiểu đường, rối loạn mỡ máu, bệnh tim thiếu máu cục bộ… cần thăm khám định kỳ, dùng thuốc đều đặn và tránh rượu bia, thuốc lá. Khi có triệu chứng đột ngột yếu liệt tay chân, méo miệng, nói khó, đau đầu dữ dội, phải đưa đến cơ sở y tế có điều trị đột quỵ gần nhất để không bỏ lỡ “giờ vàng” cứu não.
Các tin khác
Bệnh viện Quân y 121 (Quân khu 9): Miễn tiền công khám bệnh và một phần chi phí xét nghiệm
Cứu sống sản phụ mất máu, sót nhau thai khi sinh con tại nhà
Lương y Lê Xuân Xinh chung tay cùng ngành y học cổ truyền chăm sóc sức khỏe nhân dân
Bệnh viện Đa khoa Trung ương Cần Thơ cứu sống bệnh nhân đa chấn thương nguy kịch
Bệnh viện Đa khoa Trung ương Cần Thơ cứu sống bệnh nhân do xuất huyết tiêu hóa từ ruột non
Bệnh viện Đa khoa Trung ương Cần Thơ cứu sống bệnh nhân đứt rời phế quản
Điều kiện cấp giấy chứng nhận lương y
Phòng bệnh hay tìm bệnh để chữa… bạn chọn cách nào
Đề xuất điều kiện được cấp Giấy chứng nhận là Lương y
Đọc nhiều
Cờ Đỏ phát huy nội lực, tạo nền tảng phát triển bền vững
Đoàn Luật sư TP. Cần Thơ: 35 năm đồng hành bảo vệ công lý, kiến tạo môi trường pháp lý bền vững
Đưa Trung tâm hồi sức tích cực, chống độc hiện đại phục vụ bệnh nhân
Mega Sale 2026 lan tỏa xu hướng tiêu dùng xanh tại Cần Thơ
Những kỳ tích y khoa đầu năm 2026 tại Bệnh viên Đa khoa vùng Tây Nguyên
Videos
E-magazine Inforgraphic Video
Diễn văn của Tổng Bí thư Tô Lâm tại phiên bế mạc Đại hội XIV của Đảng
Đại hội XIV của Đảng sự kiện trọng đại của đất nước trong giai đoạn mới
Hợp tác xã bệ đỡ vùng trồng rau an toàn tập trung tại Hưng Yên
Hưng Yên sản xuất rau quả công nghệ cao hướng đi bền vững cho nông nghiệp sạch
Xã Ô Diên – Hà Nội: Bất cập từ bãi vật liệu xây dựng gây ô nhiễm môi trường và trách nhiệm quản lý tại địa bàn cơ sở
Cảnh báo hành vi giả danh cán bộ thuế, cơ quan thuế để lừa đảo
Phòng ngừa cháy nổ trong dịp Tết Nguyên đán
Bản tin tổng hợp số 8 tháng 11 của Tạp chí Sức khoẻ & Môi trường
Hà Nội (Q.Hà Đông) : Môi trường sống của người dân không được đảm bảo bởi những công trình vi phạm TTXD
Bệnh viện Đa khoa Quốc tế S.I.S Cần Thơ: Cứu sống bệnh nhân bị đột quỵ não.
Bệnh viện Quân y 121 (Quân khu 9): Miễn tiền công khám bệnh và một phần chi phí xét nghiệm
Cứu sống sản phụ mất máu, sót nhau thai khi sinh con tại nhà
Lương y Lê Xuân Xinh chung tay cùng ngành y học cổ truyền chăm sóc sức khỏe nhân dân
Cỏ cũng là vị thuốc
Cây dây thìa canh – Một vị thuốc nam quý
Bệnh cúm A được điều trị bằng những loại thuốc nào?
Công dụng không ngờ của thực phẩm lên men
Cứu sống bé trai 9 tuổi xuất huyết não, động kinh do u máu thể hang hiếm gặp
Ứng dụng stent LAMS tại BV đa khoa TW Cần Thơ - mở đường điều trị bệnh lý tụy
Hội thảo ứng dụng CT Photon trong chẩn đoán tim mạch và ung bướu


