Các bác sĩ 12 giờ căng não phẫu thuật cho bé trai 8 tuổi bị phình động mạch hiếm gặp
SK&MT – Một bé trai tên H. 8 tuổi bị phình động mạch cảnh trong khổng lồ hiếm gặp vừa được các bác sĩ bệnh viện Việt Đức phẫu thuật thành công.
Thông tin từ Bệnh viện Việt Đức (Hà Nội) cho biết, Bệnh viện này vừa tiến hành phẫu thuật thành công cho một bé trai bị phình động mạch cảnh trong khổng lồ hiếm gặp. Khối phình mạch khổng lồ chèn vào dây thần kinh thị giác đã khiến bé bị mất hoàn toàn thị lực.

E kíp phẫu thuật thành công cho trường hợp của cháu bé 8 tuổi phình động mạch hiếp gặp
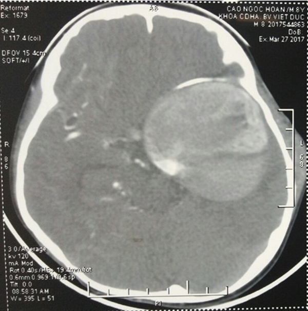
Theo đó, bệnh nhân 8 tuổi nhập viện ngày 3/6/2017 trong tình trạng bị phình động mạch cảnh trong khổng lồ, kích thước 10 x 12cm, đây là một trường hợp hiếm gặp trong y học. Bình thường phình động mạch cảnh trong có kích thước >1,5cm là lớn, > 2,5 cm là khổng lồ.
Ngày 8/6/2017 ê kíp phẫu thuật gồm 6 người do PGS.TS Đồng Văn Hệ - Giám đốc trung tâm Phẫu thuật Thần kinh, GS.Kasumi Takizawa - Giám đốc Trung tâm ngoại thần kinh Bệnh viện Red Cross Asakikawa Nhật Bản phụ trách sau hơn 12 tiếng đã phẫu thuật thành công cho bé.
Theo các bác sĩ Bệnh viện Việt Đức, phình động mạch cảnh là một loại dị dạng mạch được phát sinh ra do dị dạng của thành mạch máu, túi phình được hình thành do áp lực của dòng chảy. Đây là bệnh lý nguy hiểm nhưng triệu chứng thường rất mơ hồ với tỉ lệ mắc khoảng 1-2% trong cộng đồng.

Phim chụp triệu chứng của bệnh nhân 8 tuổi.
Phình động mặch rất nguy hiểm, gây chảy máu, tùy thuộc vào mức độ chảy máu có thể gây ra chảy máu dưới nhện, tụ máu trong nhu mô não, chảy máu trong não thất hoặc thậm chí tụ máu dưới màng cứng và có thể gây nguy hiểm trực tiếp đến tính mạng của bệnh nhân. Hoặc túi phình có khả năng gây hiệu ứng phối chèn ép các cấu trúc thần kinh mạch máu xung quanh.
Đối với bệnh nhân H., khối phình mạch nằm ở hố thái dương gây chèn ép trực tiếp vào các dây thần kinh của mạch máu nền sọ và gây ra hiệu ứng khối nên bệnh nhân sẽ có các triệu chứng do tăng áp lực hộp sọ bởi khối phình mạch khổng lồ và những biểu hiện do khối phình mạch chèn ép trực tiếp vào các dây thần kinh mạch máu nền sọ. Bệnh nhân H bị khối phình mạch đã chèn ép trực tiếp vào dây thần kinh thị giác khiến bệnh nhân bị mất thị lực hoàn toàn.
Bệnh nhân đã mất thị lực mắt trái nhiều năm và trong vòng 1 tháng thị lực mắt phải đã giảm sút, hiện tại mắt phải chỉ nhìn đếm ngón tay. Ngoài khối phình mạch khổng lồ của động mạch cảnh trong, bệnh nhân còn có nhiều khối phình mạch trên cơ thể như phình ở động mạch dưới đòn phải, ở động mạch thận trái, động mạch cánh tay phải. Nếu không được can thiệp kịp thời bé có nguy cơ cao tử vong.
PGS.TS Đồng Văn Hệ cho biết, sau mổ, bệnh nhân vẫn đang điều trị hồi sức tích cực tại Khoa Hồi tỉnh 3 - Bệnh viện Hữu nghị Việt Đức.
L.H
Các tin khác
Quản lý đau hiệu quả, thước đo chất lượng chăm sóc người bệnh
Bệnh viện Quân y 120 khám bệnh, cấp thuốc miễn phí cho người dân An Giang
Bệnh viện Quân y 121 (Quân khu 9) thực hiện thành công ca can thiệp nút túi phình động mạch não
Dấu ấn ECMO trong hồi sức cấp cứu tại Đồng bằng sông Cửu Long
Người mắc virus Nipah sẽ có những biểu hiện như thế nào?
Bộ Y tế khuyến cáo không tiếp xúc, ăn thực phẩm từ động vật hoang dã để phòng bệnh do virus Nipah
Nâng tầm can thiệp mạch Việt Nam bằng công nghệ DSA thế hệ mới
Nguy cơ lan truyền dịch bệnh do virus Nipah tại Việt Nam ở mức thấp
Phòng chống dịch bệnh do virus Nipah ngay tại các cửa khẩu
Đọc nhiều
Cờ Đỏ phát huy nội lực, tạo nền tảng phát triển bền vững
Nghiên cứu ứng dụng D-Panthenol và hệ nền sinh học: Bước tiến mới của DUYENTHI GROUP trong phục hồi hàng rào bảo vệ da
Đoàn Luật sư TP. Cần Thơ: 35 năm đồng hành bảo vệ công lý, kiến tạo môi trường pháp lý bền vững
Đưa Trung tâm hồi sức tích cực, chống độc hiện đại phục vụ bệnh nhân
Những kỳ tích y khoa đầu năm 2026 tại Bệnh viên Đa khoa vùng Tây Nguyên
Videos
E-magazine Inforgraphic Video
Diễn văn của Tổng Bí thư Tô Lâm tại phiên bế mạc Đại hội XIV của Đảng
Đại hội XIV của Đảng sự kiện trọng đại của đất nước trong giai đoạn mới
Hợp tác xã bệ đỡ vùng trồng rau an toàn tập trung tại Hưng Yên
Hưng Yên sản xuất rau quả công nghệ cao hướng đi bền vững cho nông nghiệp sạch
Xã Ô Diên – Hà Nội: Bất cập từ bãi vật liệu xây dựng gây ô nhiễm môi trường và trách nhiệm quản lý tại địa bàn cơ sở
Cảnh báo hành vi giả danh cán bộ thuế, cơ quan thuế để lừa đảo
Phòng ngừa cháy nổ trong dịp Tết Nguyên đán
Bản tin tổng hợp số 8 tháng 11 của Tạp chí Sức khoẻ & Môi trường
Điều trị bệnh gan theo hướng công nghệ cao đang được nhiều người lựa chọn tại Bệnh viện đa khoa Phương Đông
Bệnh viện Bạch Mai: Giữ vững sứ mệnh, đổi mới vì sức khỏe cộng đồng và môi trường bền vững
Dấu ấn ECMO trong hồi sức cấp cứu tại Đồng bằng sông Cửu Long
Người mắc virus Nipah sẽ có những biểu hiện như thế nào?
52 vận động viên tham gia giải đua xe mô-tô tại Cần Thơ
Tác hại của dầu chiên khi sử dụng nhiều lần
Trung tâm Y tế khu vực Yên Lạc tổ chức Hội thi “Phụ nữ với công tác Dân số và Phát triển” năm 2025
Chi cục An toàn thực phẩm tỉnh Phú Thọ: Nâng cao nhận thức trách nhiệm toàn xã hội về an toàn thực phẩm
Nghiên cứu ứng dụng D-Panthenol và hệ nền sinh học: Bước tiến mới của DUYENTHI GROUP trong phục hồi hàng rào bảo vệ da
Hành trình khởi nghiệp của sinh viên Y Dược Cần Thơ
Bộ Y tế thu hồi dược liệu Ý dĩ không đạt tiêu chuẩn chất lượng
Bộ Y tế cấp mới, gia hạn giấy đăng ký lưu hành gần 800 loại thuốc
Nguy cơ xâm nhập biến chủng Omicron vào Việt Nam là rất lớn
Giải pháp thích ứng với vi rút corona
Thủ tướng ký ban hành Nghị quyết về mua vắc-xin Covid-19
Rửa tay là biện pháp hàng đầu phòng bệnh tay chân miệng
Bệnh viện Quân y 121 (Quân khu 9) thực hiện thành công ca can thiệp nút túi phình động mạch não
Phòng ngừa bệnh tim quá đơn giản: đánh răng!
Nữ thầy thuốc giỏi chuyên môn, nhiệt huyết với phong trào
Bệnh viện Đa khoa Trung ương Cần Thơ: Sử dụng hệ thống dao mổ siêu âm Cusa trong phẫu thuật cắt gan
Không để tình trạng ứng phó thụ động, bất ngờ với COVID-19
An Giang tăng cường kiểm soát, ngăn chặn bệnh cúm gia cầm
Bộ Y tế đã cấp phép, gia hạn hơn 13.500 số đăng ký thuốc, vaccine, sinh phẩm
